Skip to main navigation Skip to main content
The University of Southampton
Biomedical Imaging Unit

Transmission Electron Microscopy Gallery

These images remain copyright of the Biomedical Imaging Unit. You are free to use them for personal and educational purposes only. For any other purposes please contact us .

Chloroplasts
Chloroplasts
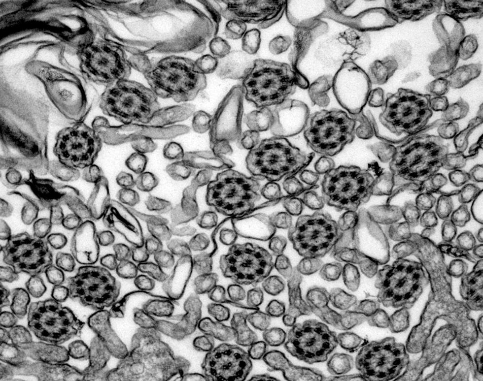
Cilia from patient with Primary Ciliary Diskynesia (PCD)
Cilia from patient with Primary Ciliary Diskynesia (PCD)
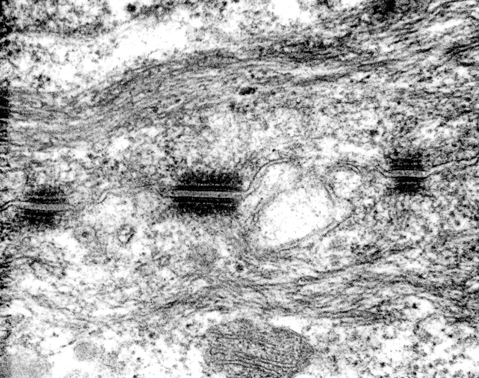
Desmosomes
Desmosomes
Golgi apparatus
Golgi apparatus
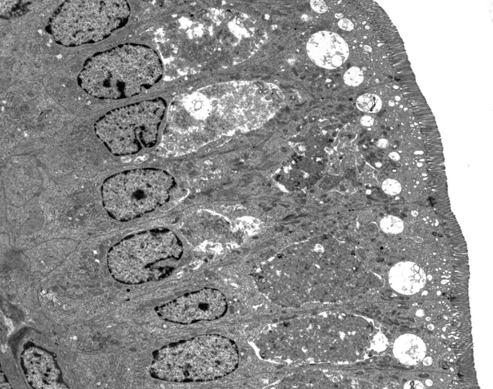
Intestinal mucosa
Intestinal mucosa
Kearns-Shy syndrome - abnormal mitochondria with paracrystalline inclusions
Kearns-Shy syndrome - abnormal mitochondria with paracrystalline inclusions
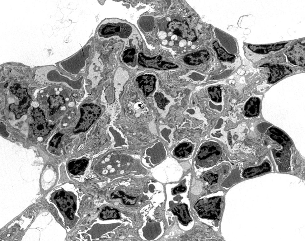
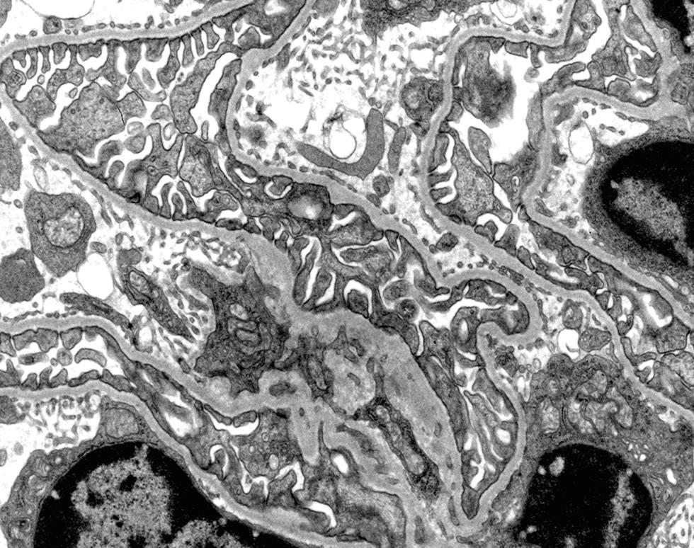
Kidney glomerulus
Kidney glomerulus
Lung tissue
Lung tissue
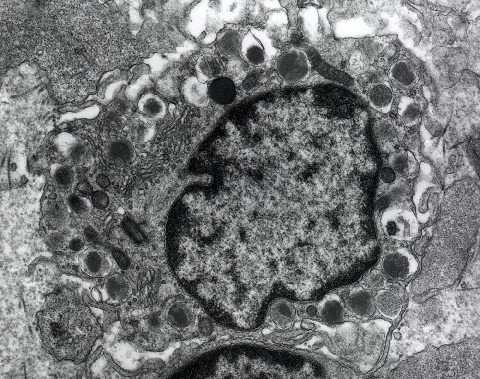
Mast cell
Mast cell
Microvilli in transverse section
Microvilli in transverse section
Mumps virus
Mumps virus
Myelinated nerve
Myelinated nerve
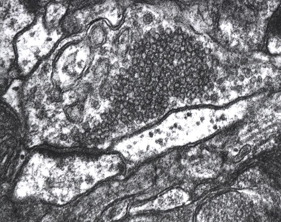
Nerve synapse
Nerve synapse
T4 bacteriophage
T4 bacteriophage
Muscle in tongue
Muscle in tongue
Wart virus
Wart virus
Warthin's tumour - paracrystalline inclusions
Warthin's tumour - paracrystalline inclusions
Privacy Settings