Rapid molecular test for pneumonia
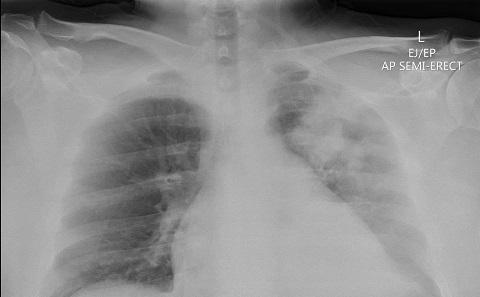
First insights into potential antibiotic savings
First insights into potential antibiotic savings
To enable commercial-scale manufacture
Using Micro-fluidic Impedance Cytometry to detect and identify pathogens in the eye
Using microfluidics for rapid identification of eye infections
Printed sensors: rapid, affordable point-of-care medical diagnostics
Developing a device to swiftly diagnose antibiotic resistant infections
It is vital for doctors to identify the specific antibiotic, and dosage, required